| 住所 | 神奈川県川崎市高津区末長1-9-1 スタイリオ梶が谷MALL6階 |
|---|---|
| 電話番号 | 044-750-0790 |
| 最寄り駅 | 梶が谷駅(梶が谷駅から徒歩1分) |
| 診療時間 | 9:30~18:00 |
| 休診日 | 月曜日 ※院内清掃や勉強会の為、休診する場合がございますので、診療カレンダーをご確認ください。 |
News&Blogお知らせ・ブログ
2023.1.20症例インプラント治療症例 No.1
50代女性「他院でインプラントは難しいと言われた」骨の厚みを作り骨幅を広げインプラント治療ができた症例


ご相談内容
「他院でインプラントは難しいと言われた。知人に相談したらこちらの歯科医院を紹介されたので治療の選択肢を聞きたい」とご来院いただきました。
カウンセリング・診断結果
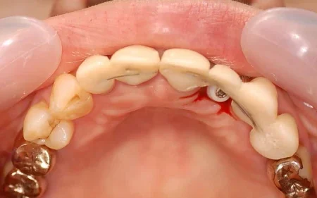
拝見したところ、左上の前歯(側切歯/2番)が欠損しており、骨の厚みと幅がないため現状ではそこにインプラントを打つのは難しい状態でした。
行ったご提案・治療内容
インプラント治療は顎の骨に人工の歯の根を打ち込むため、規定の骨の厚みと骨幅が必要です。この患者様の場合は規定量より不足しているため、現状ではインプラントを打つことは難しいですが、骨幅を広げる治療を行い厚みを確保できれば対応できることをお伝えました。
また欠損部の治療法として、両隣の歯を土台として削り橋渡しの被せ物「ブリッジ」を入れることも選択肢の1つではありますが、土台となる歯に負担がかかること、汚れがたまりやすく虫歯や歯周病になりやすいことをご説明し、ブリッジではなくインプラント治療をご希望されました。
インプラント治療をするにあたり、まず骨幅を広げるために、歯茎を開き歯を支えている骨を慎重に縦に半分に分割し、その隙間にインプラントと骨を増やす材料を一緒に詰め歯茎を縫合する治療「スプリットクレスト」を行いました。
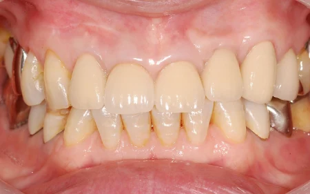
その後、仮歯を入れて数ヶ月経過観察を行い、骨とインプラントが結合したことを確認し、被せ物にあたる「上部構造」を入れました。
術後の経過・現在のご様子
他院では難しいと言われたインプラントを入れることができ、大変ご満足いただけました。
この治療のリスクについて
手術後に痛みや出血、腫れるといった症状が出ることがあります。
- 年齢・性別 50代女性
- 診療種別 自由診療
- 治療期間の目安 約6ヶ月
- 治療回数の目安 –
-
治療費総額の目安
1,000,000円
(うちインプラントは600,000円)
骨の厚みが薄いのでインプラントは現状難しい状態でした。
スプリットクレスト:違う角度からの写真で位置を確認しています。
最終的な仕上がりはこのようになりました。
スプリットクレストして骨の幅を広げ、インプラントが入るようにしています。
傷の治りも順調で、骨の盛り足しもうまくいっています。
前歯は見える部分なので、手術中もできるだけ見た目が悪くならないように工夫しています。
Appointmentご予約について
-
お電話でのお問い合わせはこちら044-750-0790
Clinic Informationクリニックについて
診療カレンダー
Accessアクセス
梶が谷駅から徒歩2分。駅近の便利な立地です。



