| 住所 | 神奈川県川崎市高津区末長1-9-1 スタイリオ梶が谷MALL6階 |
|---|---|
| 電話番号 | 044-750-0790 |
| 最寄り駅 | 梶が谷駅(梶が谷駅から徒歩1分) |
| 診療時間 | 9:30~18:00 |
| 休診日 | 月曜日 ※院内清掃や勉強会の為、休診する場合がございますので、診療カレンダーをご確認ください。 |
News&Blogお知らせ・ブログ
2023.1.20症例インプラント治療症例 No.2
60代女性「奥歯でかめるようになりたい。白い歯を入れたい」欠損していた奥歯にインプラントを入れ、銀歯はセラミックで被せ物を作り直して、噛み合わせと見た目を回復した症例


ご相談内容
「奥歯でかめるようになりたい。白い歯を入れたい」とご相談をいただきました。
カウンセリング・診断結果
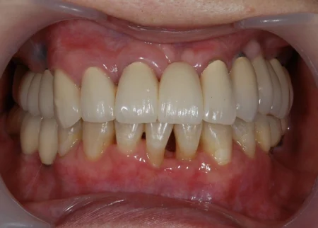
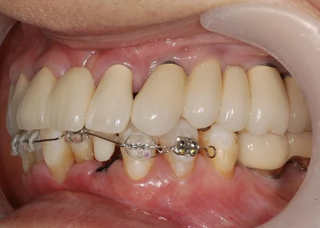
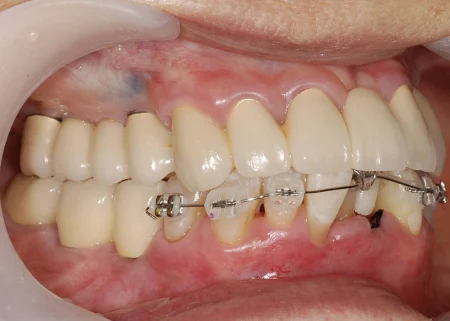
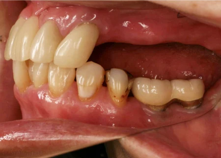
診察したところ、左右の上の奥歯8本(第1小臼歯/4番~第2大臼歯/7番)がなく、十分にかむことができていませんでした。また、左右の下の前歯4本(中切歯/1番と側切歯/2番)はガタガタの歯並びである「叢生(そうせい)」でかみ合わせも悪くなっていました。
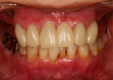
左右の上の前歯6本(中切歯/1番~犬歯/3番)も差し歯で治療されており、前歯にかむ力の負担が大きくかかっている状態でした。このまま放置すると、前歯の差し歯が壊れてしまう可能性がありました。
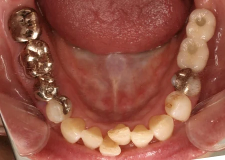
また、右下の奥歯(第2小臼歯/5番~第2大臼歯/7番)は銀の詰め物や被せ物がありました。
大きく口を開けた時に目立っていることに加え、治療から時間が経っているため、詰め物や被せ物の下に再び虫歯ができており、治療が必要でした。
行ったご提案・治療内容
奥歯でしっかりかむためには、失った歯を人工の歯で補う「入れ歯」か、人工の歯根を埋め込む「インプラント」で歯を入れる必要があります。
しかし入れ歯の場合、使い続けると入れ歯の材質が摩耗してしまい、将来的に前歯に負担が増していく可能性があること、かむ力は自分の歯があった時よりも弱くなることをご説明しました。
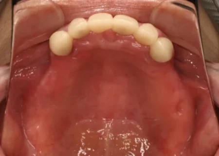
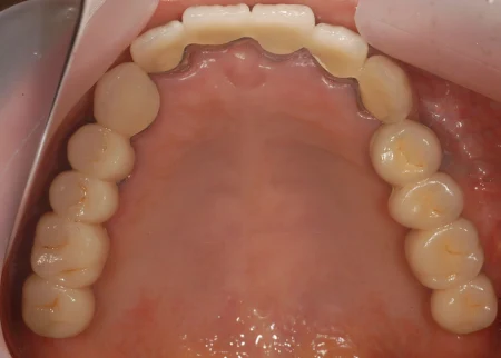
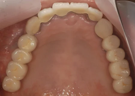
インプラントの場合は、自分の歯に近い感覚でかむことができ、奥歯でしっかりとかむ力を受け止められることをお伝えし、インプラントがおすすめだとご提案したところ、ご了承いただき、左右の上の奥歯にインプラントを入れました。
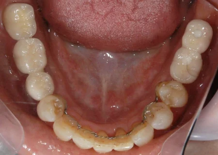
下の奥歯は銀歯をすべて外して、虫歯を丁寧に取り切った後に、天然歯のような自然な白さで耐久性もある「セラミック」で修復しました。
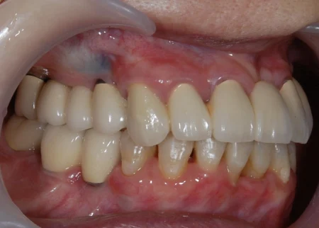
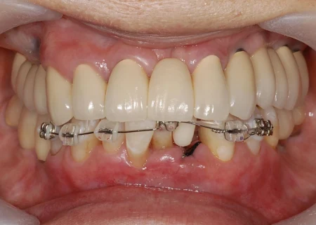
下の前歯の叢生については、前歯のみの「部分矯正」をご提案しました。左下の側切歯を抜いてスペースを作り、歯にワイヤーを通す装置「ブラケット」を装着する「ワイヤー矯正」を行いました。
術後の経過・現在のご様子
インプラントや被せ物は問題なくご使用していただけており、お口全体の歯がそろってしっかりかめるようになりました。
また、白い歯になり、見た目もきれいになりました。
治療終了後は、毎日のセルフケアの継続と定期的なメインテナンスに欠かさずご来院いただき、初診時から10年以上が経過した現在も大きなトラブルはなく経過は良好です。
この治療のリスクについて
・インプラントの周囲が細菌に感染すると、インプラント体が脱落したり、上部構造のセラミックが割れたり欠けたりする場合があります。
・天然歯が割れたり欠けたりした場合、抜く可能性があります。
・矯正後は、歯並びが後戻りする可能性があります。
- 年齢・性別 60代女性
- 診療種別 自由診療
-
治療期間の目安
インプラント治療:8ヶ月
矯正治療:9ヶ月 - 治療回数の目安 –
- 治療費総額の目安 2,000,000円
矯正治療が終了し、後戻りを防止する保定装置を装着しています。
Appointmentご予約について
-
お電話でのお問い合わせはこちら044-750-0790
Clinic Informationクリニックについて
診療カレンダー
Accessアクセス
梶が谷駅から徒歩2分。駅近の便利な立地です。



