| 住所 | 神奈川県川崎市高津区末長1-9-1 スタイリオ梶が谷MALL6階 |
|---|---|
| 電話番号 | 044-750-0790 |
| 最寄り駅 | 梶が谷駅(梶が谷駅から徒歩1分) |
| 診療時間 | 9:30~18:00 |
| 休診日 | 月曜日 ※院内清掃や勉強会の為、休診する場合がございますので、診療カレンダーをご確認ください。 |
News&Blogお知らせ・ブログ
2023.4.17症例インプラント治療症例 No.4
60代男性「歯がどんどん抜けて噛めない」連結した複数の人工歯をインプラントで支える「All on 4」で噛み合わせを改善させ、しっかり噛めるようにした症例


ご相談内容
「歯が自然にどんどん抜けてきて噛めない。しっかり噛めるようになりたい。どのような治療法があるか聞きたい」とご相談いただきました。
カウンセリング・診断結果
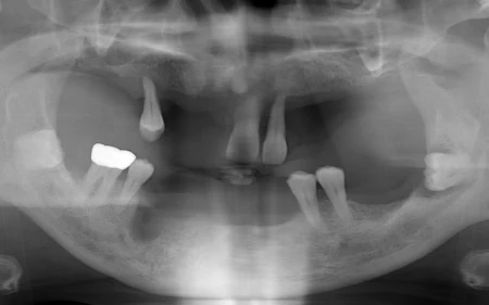
拝見したところ、歯を支える顎の骨が溶ける重度の「歯周病」が原因で、残っているすべての歯がグラグラと揺れており、保存が難しい状態でした。
しっかり噛めるようにするためには、人工の歯根を顎の骨に埋め込む「インプラント」を用いた治療法が適していると判断しました。
行ったご提案・治療内容
まず、残っている歯はすべて抜く必要がありました。
抜歯後の治療として、「入れ歯」や「インプラント入れ歯」、固定性インプラントブリッジ「All on 4(オールオンフォー)」など、それぞれのメリットとデメリットを丁寧にご説明したところ、All on 4をご希望されました。
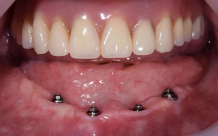
All on 4は、上顎に6本、下顎に4本埋め込んだインプラントで連結した複数の人工歯を支え、取り外しの必要がなくしっかり噛むことができて、見た目も綺麗に仕上がります。
また、インプラントをバランス良く顎の骨に埋め込むことで、使用するインプラントの本数を最小限に抑えられるため、治療費用や身体へのご負担を軽減できるというメリットがあります。
手術後に起こる一時的な痛み、出血、腫れなどについても事前に丁寧にご説明し、治療を進めました。
術後の経過・現在のご様子
上下ともに噛み合わせが安定し、お口全体でしっかり噛めるようになりました。
患者様にも「取り外しの必要がなく何でも噛めるので、とても快適な食生活を送れるようになった。滑舌も良くなり、治療して良かった」と大変喜んでいただきました。
現在は、定期的なメンテナンスでご通院いただいています。
この治療のリスクについて
この治療のリスクについて
・外科手術のため、術後に痛みや腫れ、違和感を伴います
・メンテナンスを怠ったり、喫煙したりすると、お口の中に大きな悪影響を及ぼし、インプラント周囲炎等にかかる可能性があります
・糖尿病、肝硬変、心臓病等の場合、インプラント治療ができない可能性があります
・高血圧、貧血・不静脈等の場合、インプラント治療後に治癒不全を招く可能性があります
・自費診療(保険適用外治療)となります
クリニックより
All-on-4(固定性インプラントブリッジ)治療は難易度の高い治療方法で、行える歯科医院は限られています。
興味がある方はぜひ当院にご相談ください。
- 年齢・性別 60代男性
- 診療種別 自由診療
- 治療期間の目安 上下合わせて約1年
- 治療回数の目安 –
- 治療費総額の目安 上下合わせて約5,000,000円
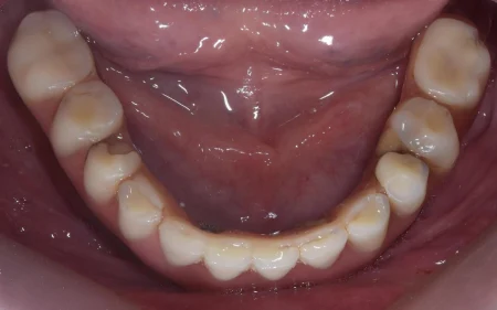
重度の歯周病が進行していて、どの歯もグラグラ揺れていました。 すべての歯を抜く必要がありました。
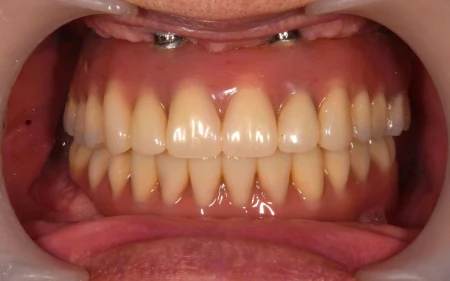
All-on-4は固定性のインプラントブリッジのため、ご自身で取り外しをすることなくお使いいただけます。
上のAll-on-4の写真です。 厚みはほとんどなく、入れ歯のような分厚さもありません。 固定式ですので、硬い物でも何でも食べられるようになりました。 使用感にとてもご満足いただいています。
入れ歯と違って厚みも非常に薄いのが特徴です。 天然歯と遜色なくお使いいただけます。
下のAll-on-4の写真です。
Appointmentご予約について
-
お電話でのお問い合わせはこちら044-750-0790
Clinic Informationクリニックについて
診療カレンダー
Accessアクセス
梶が谷駅から徒歩2分。駅近の便利な立地です。



