| 住所 | 神奈川県川崎市高津区末長1-9-1 スタイリオ梶が谷MALL6階 |
|---|---|
| 電話番号 | 044-750-0790 |
| 最寄り駅 | 梶が谷駅(梶が谷駅から徒歩1分) |
| 診療時間 | 9:30~18:00 |
| 休診日 | 月曜日 ※院内清掃や勉強会の為、休診する場合がございますので、診療カレンダーをご確認ください。 |
News&Blogお知らせ・ブログ
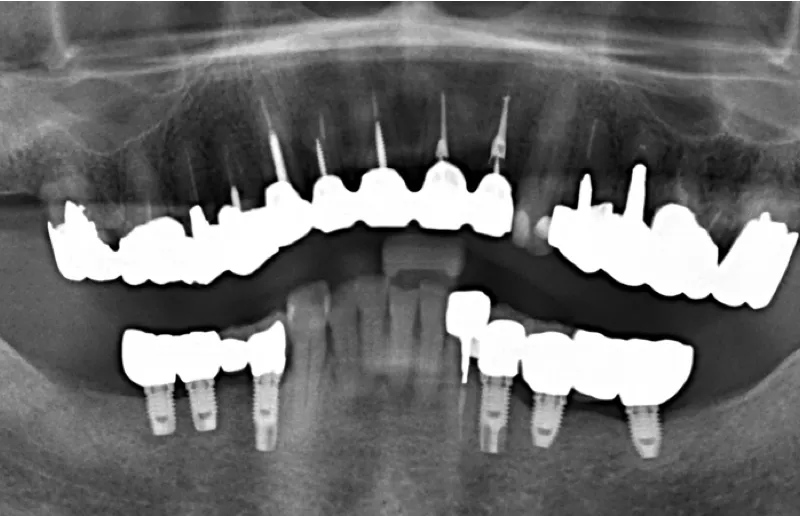
2023.9.26症例インプラント治療症例 No.5
70代男性「違和感があって入れ歯が使えない」失った下の左右奥歯を、人工歯根を利用した「インプラント治療」で補い、しっかり噛めるようになった症例


ご相談内容
「左右の奥歯が無いため他院にて入れ歯を作製したが、違和感があって使えなかった。入れ歯以外の選択肢がないかを聞きたい」とのことで、当院にご来院いただきました。
カウンセリング・診断結果
拝見したところ、下の両側の奥歯(第1小臼歯/4番〜第2大臼歯/7番)が欠損しており、前歯でしか物が噛めない状態でした。 取り外し式の入れ歯をご使用されていましたが、違和感があるご様子で、装着すると吐き気が出てしまっていました。
行ったご提案・治療内容
奥歯でしっかりと噛めるようにするために、あごの骨に人工の歯根を埋めて歯を装着する「インプラント治療」をご提案しました。
インプラントは固定式で、ご自身の歯のように違和感なく噛めることをご説明したところ、ご希望いただきました。
インプラントの本数については、奥歯で噛んだときの力を分散させるため、左右に3本ずつ埋めることをおすすめしました。
噛む力がとても強い患者様だったので、インプラント1本にかかる負担を少なくするほうがインプラントが長持ちすることをお伝えし、同意いただきました。
患者様から「治療期間をできるだけ短くしたい。少しでも早く噛めるようになりたい」とご要望があったため、左右同時にインプラント手術に臨みました。
インプラント手術は長時間に及びましたが、点滴をしながら眠った状態で手術を行う「静脈内鎮静法(じょうみゃくないちんせいほう)」を採用したため、患者様の負担を最小限にすることができました。
手術後は、もともとご使用されていた入れ歯を一時的に装着してお過ごしいただきました。
3ヶ月後、インプラントが骨としっかり定着したことを確認してから、左右同時に被せ物を作製し、インプラントの上に取り付けて治療を終了しました。
術後の経過・現在のご様子
奥歯で違和感なく噛めるようになりました。
患者様にも「眠っている間に手術が終わりとても楽だった。痛みや腫れもほとんどなく、もっと早く行えば良かった」と大変お喜びいただきました。
インプラントを長くご使用いただけるよう、現在は定期的なメンテナンスでご通院いただいています。
この治療のリスクについて
・外科手術のため、術後に痛みや腫れ、違和感を伴います
・メンテナンスを怠ったり、喫煙したりすると、お口の中に大きな悪影響を及ぼし、インプラント周囲炎などにかかる可能性があります
・糖尿病、肝硬変、心臓病などの持病をお持ちの場合、インプラント治療ができない可能性があります
・高血圧、貧血・不整脈などの持病をお持ちの場合、インプラント治療後に治癒不全を招く可能性があります
・自費診療(保険適用外治療)です
クリニックより
当法人では、累計5,000本を超えるインプラント手術の実績があります。
お一人お一人の患者様に寄り添うことを第一に、インプラントだけでなく最善最良の治療を模索し、スタッフ一丸となってご提案致します。
まずはお気軽にご連絡ください。
- 年齢・性別 70代男性
- 診療種別 自由診療
- 治療期間の目安 約6ヶ月
- 治療回数の目安 –
- 治療費総額の目安 2,700,000円
Appointmentご予約について
-
お電話でのお問い合わせはこちら044-750-0790
Clinic Informationクリニックについて
診療カレンダー
Accessアクセス
梶が谷駅から徒歩2分。駅近の便利な立地です。



