| 住所 | 神奈川県川崎市高津区末長1-9-1 スタイリオ梶が谷MALL6階 |
|---|---|
| 電話番号 | 044-750-0790 |
| 最寄り駅 | 梶が谷駅(梶が谷駅から徒歩1分) |
| 診療時間 | 9:30~18:00 |
| 休診日 | 月曜日 ※院内清掃や勉強会の為、休診する場合がございますので、診療カレンダーをご確認ください。 |
News&Blogお知らせ・ブログ
2023.12.7症例インプラント治療症例 No.6
50代男性「歯がぐらついている」硬いものを噛んで根が割れた前歯をインプラントで治療した症例


ご相談内容
「前歯で焼き鳥の串をかじってしまい、ボキッと音が鳴って歯がぐらつき始めた。噛むと痛い」とご相談いただきました。
カウンセリング・診断結果
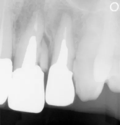
レントゲン撮影を行ったところ、左上前歯(中切歯/1番)の歯の根が破折しており、治療して残すことは難しく抜歯が必要な状態でした。
また、破折した前歯とその両隣の歯(右上中切歯、左上側切歯/2番)は被せ物で治療されていましたが、色が劣化していて気になるとのことでした。
行ったご提案・治療内容
診断結果を丁寧に説明した上で、まずは抜歯に同意いただきました。
抜歯後の選択肢には、①取り外し式の入れ歯、②両隣の歯を利用して橋渡しのように歯を入れるブリッジ、③人工歯根を埋めて歯を装着するインプラント治療があります。
患者様は「これ以上周りの歯に負担をかけて、歯を失いたくない」とご希望でしたので、抜歯部位を単独で治せるインプラント治療を進めることになりました。
まずは破折した左上前歯を抜き、インプラントをあごの骨に埋める手術を行いました。
手術後はインプラントと骨が定着するまで数ヶ月待つ必要があり、その間は歯が無い状態になります。今回は治療部位が前歯ということでお口を開けた時に目立つため、仮の歯を両隣の歯と接着し、治療中であっても見た目を気にせず過ごしていただけるよう配慮しました。
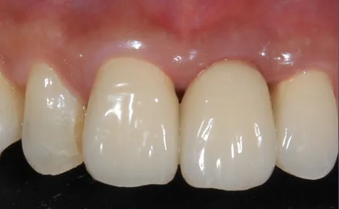
インプラントが安定したことを確認してから最終的な人工歯を装着するとともに、色が気になっていた両隣の被せ物も作り直しました。被せ物の材質には、自然な白さで適合性も良い「セラミック」を使用しています。
術後の経過・現在のご様子
ご自身の歯と馴染んだ自然な仕上がりになり、噛み合わせも問題ありません。
患者様にも「鏡の前でじっくり眺めてもどの歯を治したかわからないほど綺麗。口元のコンプレックスが解消されたので、以前よりも思い切り口を開けて笑えるようになった」と大変お喜びいただきました。
今後も定期的なメンテナンスで経過を拝見します。
この治療のリスクについて
・インプラントは外科手術のため、術後に痛みや腫れ、違和感を伴います
・メンテナンスを怠ったり、喫煙したりすると、お口の中に大きな悪影響を及ぼし、インプラント周囲炎等にかかる可能性があります
・噛み合わせや歯ぎしりが強い場合、セラミックが割れる可能性があります
・一部の治療を除き、自費診療(保険適用外治療)です
クリニックより
当院では、患者様に最大限寄り添った治療を心がけており、お一人おひとりのライフスタイルに合わせた治療方法や治療手順をご案内しています。
ご不明な点はどんな内容でも詳しくお伝えしています。まずは一度お問い合わせください。
- 年齢・性別 50代男性
- 診療種別 自由診療
- 治療期間の目安 6ヶ月
- 治療回数の目安 –
-
治療費総額の目安
インプラント治療:500,000円
前歯のセラミック2本:300,000円
Appointmentご予約について
-
お電話でのお問い合わせはこちら044-750-0790
Clinic Informationクリニックについて
診療カレンダー
Accessアクセス
梶が谷駅から徒歩2分。駅近の便利な立地です。



