| 住所 | 神奈川県川崎市高津区末長1-9-1 スタイリオ梶が谷MALL6階 |
|---|---|
| 電話番号 | 044-750-0790 |
| 最寄り駅 | 梶が谷駅(梶が谷駅から徒歩1分) |
| 診療時間 | 9:30~18:00 |
| 休診日 | 月曜日 ※院内清掃や勉強会の為、休診する場合がございますので、診療カレンダーをご確認ください。 |
News&Blogお知らせ・ブログ
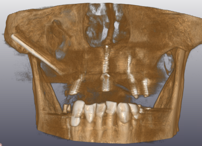
2023.12.22お知らせ【ザイゴマインプラント】
ザイゴマインプラントをされました男性の患者様です‼︎
主訴で歯痛が有り、食べ物もうまく食べれないという事で来院されました。
義歯とも迷われておられましたが、ザイゴマインプラントの良さをご理解いただき、今回の施術となりました。
術後も違和感もなく来院されておりました‼︎
様々な悩みを抱えられている患者様がいらっしゃる中で、一人一人に合った最善の対応をさせて頂きます。
※通常のインプラントは歯槽骨か顎骨に埋入されますが、ザイゴマインプラントは頬骨(ザイゴマ)に埋めるインプラントです。
#歯医者#歯科#歯科医師#新百合山手ファースト歯科#梶が谷ファースト歯科#青葉台ファースト歯科#インプラント#All on 4#オールオン4#静脈内鎮静法
#ザイゴマインプラント





Appointmentご予約について
-
お電話でのお問い合わせはこちら044-750-0790
Clinic Informationクリニックについて
診療カレンダー
Accessアクセス
梶が谷駅から徒歩2分。駅近の便利な立地です。



