インプラント治療において、
メインテナンスが非常に重要!
将来を見据えてクリニックを
選びましょう
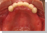
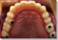
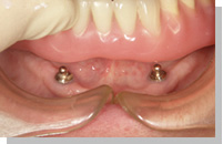
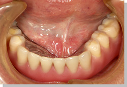
インプラント選びにおいて、注意しなくてはならないのは、多くの歯科医院で利用されており、さらに実績のあるインプラントでなくてはならないということです。
メインテナンスが非常に重要となるインプラントは、メーカーが違えばスクリューひとつも異なってきます。旅先や出張先、転居した際などに、マイナーなインプラントがお口の中に入っていると、せっかく見つけた歯科医院でのメインテナンスがとても難しくなることがあります。
様々な観点から、当院で利用しているインプラントは、「ノーベルバイオケア」「ストローマン」「Zimmer」「GC」各社のものを採択しております。
症例によっては他社のインプラントを利用することもありますが、上記の観点から、可能な限り実績のある、どこの歯科医院でもメインテナンスの可能なインプラントを使っております。



飯田所属スタディグループ、





