News&Blogお知らせ・ブログ
-
お知らせ2023.8.12 -
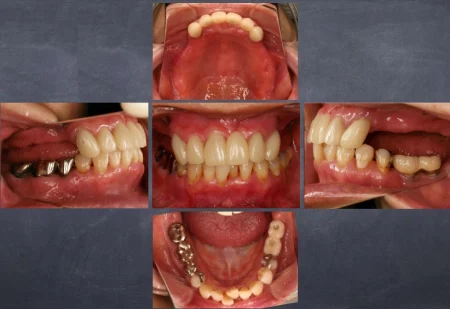
症例2023.4.17 インプラント治療症例No.4
60代男性「歯がどんどん抜けて噛めない」連結した複数の人工歯をインプラントで支え… -
症例2023.3.25 インプラント治療症例No.3
60代男性「奥歯が噛むと痛い」割れて残せない歯を、人工の土台を埋めて歯を取り付け… -
お知らせ2023.1.20 スマートフォンへの連絡先登録の…
スマートフォンのカメラで下のQRコードの読取をするだけで当院の連絡先をアドレス帳… -
症例2023.1.20 インプラント治療症例No.2
60代女性「奥歯でかめるようになりたい。白い歯を入れたい」欠損していた奥歯にイン… -
症例2023.1.20 インプラント治療症例No.1
50代女性「他院でインプラントは難しいと言われた」骨の厚みを作り骨幅を広げインプ… -
お知らせ2023.1.14 臨時休診のお知らせ
1月16日(月)を臨時休診とさせていただきます。ご迷惑をおかけしますが何卒よろ… -
お知らせ2022.12.15 年末年始休診のお知らせ
誠に恐れ入りますが、下記期間をお休みとさせていただきます。2022年12月29… -
お知らせ2022.11.29 LINE@公式アカウントをはじ…
LINE@公式アカウントをはじめました!1.LINEで無料カウンセリング2.診断… -
お知らせ2022.10.31 ホームページリニューアルのお知…
このたび、当院ホームページをリニューアルさせていただきました。お客様におかれま…
Appointmentご予約について
-
お電話でのお問い合わせはこちら044-750-0790
Clinic Informationクリニックについて
診療カレンダー
| 住所 | 神奈川県川崎市高津区末長1-9-1 スタイリオ梶が谷MALL6階 |
|---|---|
| 電話番号 | 044-750-0790 |
| 最寄り駅 | 梶が谷駅(梶が谷駅から徒歩1分) |
| 診療時間 | 9:30~18:00 |
| 休診日 | 月曜日 ※院内清掃や勉強会の為、休診する場合がございますので、診療カレンダーをご確認ください。 |
Accessアクセス
梶が谷駅から徒歩2分。駅近の便利な立地です。



